The Whole Tooth

Crowns and Veneers

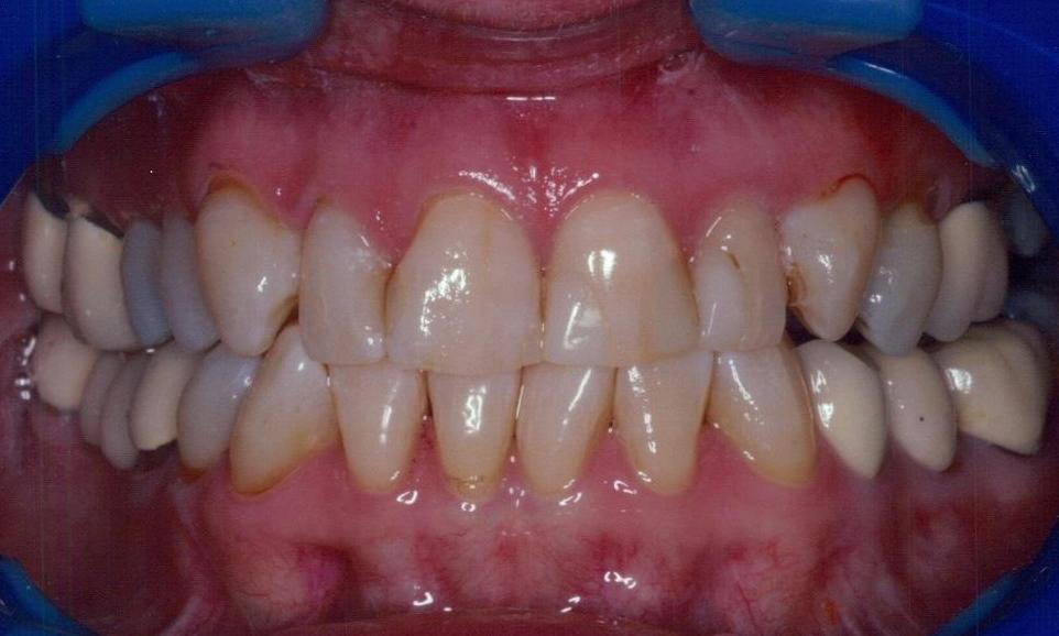
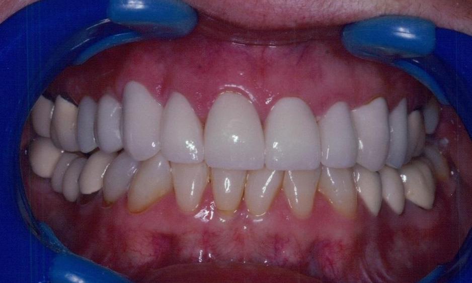
This patient had many fillings in her front teeth that were picking up coffee stain. We used a combination of eight crowns and veneers to permanently brighten her teeth and keep the stain at bay.

Improve your smile today – call to schedule a consultation!
If you have difficulty using our website, please email us or call us at (678) 329-1116
View the ADA Accessibility Statement